-

Basal Ganglia-Thalamocortical Circuits for Speech Production and Perception
-

Responsive Neurostimulation for Epilepsy
-

Epilepsy Surgery
-

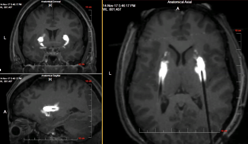
Deep Brain Stimulation for OCD
-

Deep Brain Stimulation for Movement Disorders
-

Cognitive Neuroscience Collaborations
-

Central Processing of Olfaction
-

Gene and Cell Therapy
-

Patient Engagement

